Ścieki popłynęły do zatoki. Mówienie, że jest bezpiecznie to "pewnego rodzaju nadużycie"

Wraz ze ściekami do wody trafiają bakterie
Inspektor sanitarny o pierwszych wynikach badań
Źródło: tvn24
Ostrzeżenie przed kąpielą w wodach Zatoki Gdańskiej nadal obowiązuje. Piątkowe - pozytywne - wyniki badań pierwszych próbek jeszcze o niczym nie świadczą, zagrożenie nie zniknęło. Sprawdź, co trafia do wody wraz ze ściekami i jaki ma to wpływ na nasze zdrowie.

W przepompowni ścieków na Ołowiance doszło we wtorek do poważnej awarii. Aby uniknąć ryzyka cofania się ścieków i podtopień w dzielnicach Gdańska, spółka świadcząca usługi wodociągowo-kanalizacyjne postanowiła zrzucić ścieki do Motławy.

W związku z tym Państwowa Powiatowa Stacja Sanitarno-Epidemiologiczna zarekomendowała prewencyjny zakaz korzystania z kąpielisk w rejonie Zatoki Gdańskiej. Utrzymała go, mimo opublikowanych w piątek pozytywnych wyników badań.

Bezpiecznie?

"Jakość wody w badanym zakresie, tj. obecności Escherichia coli oraz bakterii z grupy enterokoków, odpowiada wymaganiom sanitarnym rekomendowanym dla wody w kąpieliskach" - czytamy w piątkowym komunikacie.

Trzeba jednak pamiętać, że przebadane próbki zostały pobrane w środę 16 maja rano. Tymczasem zrzut ścieków do Motławy zaczął się we wtorek, a zakończył - jak poinformowała rzeczniczka prasowa spółki Saur Neptun Gdańsk (SNG) Magdalena Rusakiewicz - dopiero w piątek rano.

- Mamy do czynienia z wynikami z momentu rozpoczęcia zrzutu. Proszę pamiętać, że po tym czasie, kiedy próbki zostały pobrane do badań, jeszcze minęły dwie doby, kiedy ścieki były zrzucane do kanału Motławy i tym samym trafiały do wód Zatoki Gdańskiej - podkreśla Tomasz Augustyniak, państwowy wojewódzki inspektor sanitarny na Pomorzu.

- Opieranie się dzisiaj na tym, że te wyniki nic nie wykazały i w związku z tym jest bezpiecznie, jest pewnego rodzaju nadużyciem - dodaje.

Ostrzeżenie przed kąpielą w wodach całej Zatoki Gdańskiej obowiązuje, mimo że oficjalny sezon kąpielowy w Polsce trwa od 1 czerwca do 30 września. Jak mówi Augustyniak, jest to działanie prewencyjne. - Chcemy mieć pewność, że woda w zatoce jest bezpieczna - tłumaczy. W tej chwili takiej pewności nie ma.

Badania wody

- Nie da się tak zbadać wody, żeby na sto procent wykluczyć obecność chorobotwórczych bakterii, dlatego pomimo prawidłowych parametrów sanepid słusznie robi, zalecając wstrzymanie się z kąpielą w niedawno zanieczyszczonych akwenach - podkreśla w rozmowie z TVN Meteo mikrobiolog, dr n. wet. Grzegorz Madajczak.

Jak czytamy w serwisie Departamentu Bezpieczeństwa Zdrowotnego Wody Państwowej Inspekcji Sanitarnej, woda w kąpieliskach jest monitorowana między innymi pod kątem przekroczeń zanieczyszczeń mikrobiologicznych.

Podczas badania nie jest możliwe oznaczenie obecności wszystkich organizmów chorobotwórczych. Z tego powodu bada się drobnoustroje wskaźnikowe. Są to między innymi pałeczki okrężnicy (Escherichia coli) i paciorkowce kałowe z typowym gatunkiem Enterococcus faecalis.

Fakt, że woda pobrana z Zatoki Gdańskiej odpowiada wymaganiom sanitarnym rekomendowanym dla wody w kąpieliskach nie oznacza, że nie ma w niej bakterii. Jak mówi dr Grzegorz Madajczak, one tam mogą być, ale w liczbie, która nie stwarza zagrożenia dla człowieka. Określa się to na podstawie kryteriów oceny jakości wody, obowiązujących zarówno w Unii Europejskiej, jak i w Polsce.

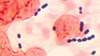
Enterococcus sp
Enterococcus sp
Źródło: domena publiczna

Bakterie zagrożeniem

Badania jakości mikrobiologicznej wody mają pomóc ustalić nie tylko to, czy znajdują się w niej chorobotwórcze bakterie (np. pałeczki Salmonella), lecz przede wszystkim - ryzyko wystąpienia innych chorobotwórczych drobnoustrojów.

- Jeśli normy jakości byłyby przekroczone, wskazywałoby to na znaczne zanieczyszczenie wody bakteriami, wśród których mogą znajdować się również drobnoustroje chorobotwórcze - zauważa dr Madajczak.

Pałeczki okrężnicy, nazywane bakteriami E. coli, naturalnie występują w jelicie zwierząt i ludzi. Powszechne są również w środowisku. Zwiększona ich liczba w wodzie może wskazywać na jej zanieczyszczenie fekaliami. Skutki zakażenia są zależne od rodzaju szczepu, liczby spożytych bakterii i odporności człowieka. Zwykle są to zatrucia pokarmowe, a co za tym idzie - wymioty i biegunki. Kiedy bakterie dostaną się do układu moczowego, mogą przyczynić się do zakażeń dróg moczowych.

Także enterokoki występują w przewodzie pokarmowym człowieka i innych ssaków. Skutkiem zakażenia nimi mogą być również, między innymi, infekcje dróg moczowych.

Większość drobnoustrojów z flory fekalnej nie jest chorobotwórcza, mogą jednak stwarzać zagrożenie w kontakcie z otwartymi ranami lub dla osób o obniżonej odporności. Jak mówi Madajczak, dodatkowym zagrożeniem jest fakt, że niektóre z drobnoustrojów mogą przenosić oporność na antybiotyki, zapisaną w ich genach.

- Bakterie mają możliwość przekazywania sobie tych informacji, więc istnieje potencjalne ryzyko, iż oporność na antybiotyki mogłaby rozprzestrzenić się, co stwarzałoby zagrożenie dla zdrowia publicznego. Na szczęście w środowisku naturalnym rzadziej dochodzi do takich sytuacji niż na przykład w szpitalach. To jednak związane jest z faktem, iż w szpitalach na co dzień stosuje się antybiotyki, które nie występują w środowisku. Ryzyko jest więc minimalne - uspokaja.

Skupisko Escherichia coli powiększone 10 tysięcy razy
Skupisko Escherichia coli powiększone 10 tysięcy razy
Źródło: domena publiczna

Co dalej z tą wodą?

Rozwojowi bakterii mogą sprzyjać czynniki środowiskowe. - Jeżeli w najbliższym czasie zrobiłoby się cieplej, to bakterie, gromadzące się w miejscach, gdzie woda stoi, miałyby większe szanse na rozwój, co mogłoby doprowadzić do przekroczenia dopuszczalnych limitów - wyjaśnia dr Madajczak.

- Ochłodzenie w ostatnich dniach jest więc dobrą informacją. Jeśli warunki pogodowe będą sprzyjały rozwojowi mikroorganizmów w wodzie, z pewnością służby sanitarne wykryją ten fakt, o czym niezwłocznie poinformują - dodaje.

Zwrócił na to uwagę także wiceminister środowiska Sławomir Mazurek podczas czwartkowej konferencji w Gdańsku. - W tym momencie Morze Bałtyckie nie jest skażone, ale to ryzyko cały czas istnieje. Mamy trochę szczęścia w tej bardzo trudnej sytuacji, ponieważ mamy temperaturę, która wpływa na to, że te procesy biologiczne są wstrzymane - mówił. Jego zdaniem, istnieje na przykład "ryzyko masowego śnięcia ryb".

- Ryzyka są bardzo poważne, bo Gdańsk z uwagi na lokalizację ma bezpośredni wpływ na stan Morza Bałtyckiego. Zagrożenie poważną katastrofą ekologiczną miało tutaj miejsce i to zagrożenie cały czas wisi nad nami. Cały czas pobierane są próby, które pokazują znaczny przyrost substancji niebezpiecznych w wodach, które będą oddziaływać na organizmy żywe - mówił Mazurek.

Ścieki zalały silniki

We wtorek przed południem przestały działać urządzenia w Przepompowni Ścieków Ołowianka, odbierającej 60 procent ścieków z terenu Gdańska i odprowadzającej je do Oczyszczalni Wschód. Awaria spowodowana została zalaniem komory pomp i znajdujących się tam czterech silników: dwóch głównych i dwóch zapasowych.

Aby uniknąć zalania miasta przez cofające się z kanalizacji ścieki, we wtorek około godziny 13 spółka Saur Neptun Gdańsk (SNG) odpowiadająca za gdańską sieć wodociągowo-kanalizacyjną, zdecydowała o zrzucie nieczystości do Motławy. Do rzeki trafiało około 2,6 tysiąca metrów sześciennych ścieków na godzinę. Część nieczystości odprowadzano też bezpośrednio do Zatoki Gdańskiej - na wysokości Zaspy.

W czwartek SNG poinformowała, że przed południem w przepompowni zainstalowano nowy – sprowadzony z Holandii - silnik i uruchomiono pompę. Wraz z jej rozruchem zaprzestano spuszczać ścieki do wód Zatoki Gdańskiej. W piątek rano zakończył się też zrzut awaryjny do Motławy.

W sprawie awarii wciąż jest mnóstwo pytań

W sprawie awarii wciąż jest mnóstwo pytań

Autor: aw//rzw / Źródło: TVN24, TVN Meteo, PAP

Czytaj także: