Neurologiczne powikłania po COVID-19. "Okaże się, czy będziemy świadkami epidemii uszkodzeń mózgu"

Nietypowej powikłania po COVID-19
Co musisz wiedzieć o koronawirusie? Ministerstwo Zdrowia radzi
Źródło: Kancelaria Premiera
Brytyjscy naukowcy ostrzegają, że neurologiczne powikłania po COVID-19, chorobie wywoływanej przez koronawirusa SARS-CoV-2, mogą obejmować majaczenie, zapalenie i udar mózgu oraz uszkodzenia nerwów.

Naukowcy z Kolegium Uniwersyteckiego w Londynie (UCL) opublikowali w środę badania świadczące o tym, że COVID-19 może powodować powikłania neurologiczne, w tym udar mózgu, uszkodzenie nerwów i potencjalnie śmiertelne zapalenie mózgu. Takie dolegliwości stwierdzono nawet u pacjentów, którzy nie mieli poważnych objawów oddechowych związanych z tą chorobą.

Zespół badawczy zidentyfikował też rzadką, a czasami śmiertelną chorobę znaną jako ADEM (ostre rozsiane zapalenie mózgu i rdzenia), która ich zdaniem staje się coraz powszechniejsza z powodu pandemii. Artykuł pojawił się w czasopiśmie medycznym "Brain".

"Powinniśmy być czujni i zwracać uwagę na te komplikacje u osób, które miały COVID-19" - napisał jeden z autorów badań, doktor Michael Zandi, w komunikacie prasowym UCL. Dodał, że z czasem się okaże, czy "będziemy świadkami epidemii uszkodzeń mózgu związanych z pandemią na dużą skalę". Podkreślił, że aby zrozumieć potencjalne długoterminowe konsekwencje neurologiczne pandemii, konieczne będą badania uzupełniające.

COVID-19 I USZKODZENIA NEUROLOGICZNE

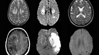
Skany mózgu opublikowane przez Kolegium Uniwersyteckie w Londynie (University College London)
Skany mózgu opublikowane przez Kolegium Uniwersyteckie w Londynie (University College London)
Źródło: University College London

Majaczenia i halucynacje

Od kwietnia do maja naukowcy zbadali 43 pacjentów leczonych w szpitalach Kolegium Uniwersyteckiego w Londynie, ich wiek wahał się od 16 do 85 lat. Wykazywali szereg objawów - od łagodnych po ciężkie. Wśród tych pacjentów naukowcy znaleźli 10 przypadków z "przejściową dysfunkcją mózgu" i majaczeniami, 12 przypadków z zapaleniem mózgu, osiem przypadków udarów i osiem przypadków uszkodzenia nerwów.

Ponadto u większości chorych, u których stwierdzono stan zapalny mózgu, rozpoznano chorobę ADEM (ostre rozsiane zapalenie mózgu i rdzenia). Przed pandemią zespół badawczy zdiagnozowałby w Londynie jednego pacjenta z tą chorobą na miesiąc. W okresie badań (kwiecień-maj) liczba ta wzrosła do co najmniej jednego przypadku w tygodniu.

Jedna z chorych na COVID-19 kobiet miała halucynacje, widziała lwy i małpy w swoim domu. Inni pacjenci zgłaszali drętwienie kończyn lub twarzy, podwójne widzenie i dezorientację. Jeden poważnie chory pacjent, który był ledwo przytomny, reagował tylko z bólu.

Długofalowe skutki COVID-19

Badacze wciąż próbują dowiedzieć się, dlaczego u chorych na COVID-19 rozwijają się te nietypowe powikłania. Koronawirus SARS-CoV-2, który wywołuje tę chorobę, nie został znaleziony w ich płynie mózgowo-rdzeniowym, co oznacza, że wirus nie wydaje się bezpośrednio atakować mózgu. Jedną z teorii jest natomiast to, że powikłania są pośrednio wywoływane przez odpowiedź immunologiczną z organizmu pacjenta - nie z samego wirusa.

"Biorąc pod uwagę, że choroba ta występuje dopiero od kilku miesięcy, możemy jeszcze nie wiedzieć, jakie długofalowe szkody może wyrządzić" - napisał w komunikacie prasowym UCL jeden z autorów badań doktor Ross Paterson. "Lekarze muszą być świadomi możliwych skutków neurologicznych, jak wczesna diagnoza może poprawić wyniki pacjenta" - podkreślił.

Autor: anw/aw / Źródło: CNN, www.eurekalert.org

Czytaj także: