Od jajeczka do blastocysty. Tak rodzi się życie

Poszczególne fazy rozwoju komórki jajowej
Poszczególne fazy rozwoju komórki jajowej
Źródło zdj. gł.: Invicta
Od zapłodnienia pozaustrojowego do implementacji zarodka w macicy mija kilka dni. Zobacz, co dzieje się z zapłodnioną komórką jajową w tym czasie i jak powstaje blastocysta - ostatnie stadium rozwoju zarodka, które można osiągnąć w warunkach laboratoryjnych.

ZOBACZ, JAK WYGLĄDA ZAPŁODNIENIE IN VITRO KROK PO KROKU

Po pobraniu od kobiety dojrzałych komórek jajowych, "odpoczywają" one w laboratorium, a następnie przygotowywane są do zapłodnienia.

Zapłodnienie następuje pod mikroskopem - tam następuje nacięcie otoczki i wprowadzenie plemnika za pomocą iniekcji.

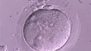
Dojrzała komórka jajowa
Dojrzała komórka jajowa
Źródło zdjęcia: Invicta

Zapłodniona komórka jajowa dzieli się w II dobie hodowli (czyli kolejnego dnia od zaobserwowania zapłodnienia) na dwie, a potem cztery komórki. Na tym etapie komórkę jajową nazywamy już zarodkiem (embrionem).

Zapłodniona komórka jajowa - I dzień hodowli
Zapłodniona komórka jajowa - I dzień hodowli
Źródło zdjęcia: Invicta

W trzecim dniu hodowli embrion dzieli się dalej - posiada od 6 do 8 komórek, zwanych blastomerami.

Zarodek dwukomórkowy - II doba hodowli
Zarodek dwukomórkowy - II doba hodowli
Źródło zdjęcia: Invicta
Zarodek czterokomórkowy - II doba hodowli
Zarodek czterokomórkowy - II doba hodowli
Źródło zdjęcia: Invicta
Zarodek ośmiokomórkowy - III doba hodowli
Zarodek ośmiokomórkowy - III doba hodowli
Źródło zdjęcia: Invicta
Zarodek - IV doba hodowli
Zarodek - IV doba hodowli
Źródło zdjęcia: Invicta

W warunkach pozaustrojowych zarodek może przebywać jeszcze kolejne dwa-trzy dni. W tym czasie przekształca się w stadium blastocysty, czyli wielokrotnie podzielonej komórki.

Blastocysta - V doba hodowli
Blastocysta - V doba hodowli
Źródło zdjęcia: Invicta

Transfer zarodka do macicy kobiety może nastąpić na różnych etapach rozwoju: może być to zarodek dwu- lub czterokomórkowy w drugiej dobie hodowli, zarodek sześcio- lub ośmiokomórkowy w trzeciej dobie hodowli lub zarodek w stadium blastocysty - czyli czwartej, piątej lub szóstej dobie hodowli.

Wylęgająca się blastocysta - V doba hodowli
Wylęgająca się blastocysta - V doba hodowli
Źródło zdjęcia: Invicta

Jeśli embrion jest w stadium blastocysty, może zagnieździć się od razu w macicy, jeśli jest podany wcześniej - musi w organizmie kobiety dojrzeć.

Blastocysta to ostatni etap rozwoju zarodka, który można osiągnąć w warunkach laboratoryjnych. Hodowla zarodka do stadium blastocysty może zwiększać szanse na pozytywny wynik metody in vitro.

W tym samym dniu, w którym następuje transfer zarodków do organizmu kobiety, pozostałe, niewykorzystane zarodki zamraża się. Zwykle podaje się kobiecie jeden lub dwa zarodki, maksymalnie - na jej życzenie - trzy.

Zarodki zamrażane są w specjalnym pojemniku z ciekłym azotem, w temp. - 196°C (temperatura ciekłego azotu). Mogą być one przechowywane w tej temperaturze nawet przez kilka lat.

Aby kobieta zaszła w ciążę, zarodek musi zagnieździć się w jej macicy.

Konsulatcja medyczna: dr n.med. Joanna Liss

In vitro krok po kroku
In vitro krok po kroku

Autor: jk//mat / Źródło: tvn24.pl

Czytaj także: