Groźny grzyb atakujący ludzi wykryty u szczurów i dzikich myszy

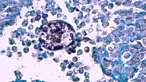
Coccidioides immitis pod mikroskopem
Szczury występują na każdym kontynencie z wyjątkiem Antarktydy
Źródło: TVN Meteo
Gryzonie mogą przenosić wiele niebezpiecznych dla człowieka grzybic płuc - ostrzegają amerykańscy naukowcy. Wewnątrz układu oddechowego małych ssaków z południowego zachodu USA znajdują się między innymi patogeny wywołujące kokcydioidomikozę.

Szczury cieszą się złą sławą w kwestii przenoszenia chorób, głównie z powodu roli, jaką przypisuje się im w transmisji Czarnej Śmierci, czyli dżumy, na kontynencie europejskim. Jak wskazują badania naukowców z Uniwersytetu w Nowym Meksyku, nie tylko one mogą być wektorami poważnych chorób. Niebezpieczne mogą być również inne dzikie gryzonie.

Grzyby i małe ssaki

Badanie, opublikowane we "Frontiers in Fungal Biology", zostało przeprowadzone na zamrożonych próbkach tkanek płucnych pozyskanych w latach 1994-2019. Pochodziły one od dzikich myszy i szczurów powszechnie występujących na południowym zachodzie Stanów Zjednoczonych. Naukowcy posłużyli się technikami sekwencjonowania DNA, które pozwoliły na przetestowanie próbek pod kątem obecności szerokiego spektrum grzybów.

- Nasza analiza skupiała się na patogenach obecnych w płucach małych ssaków - donosi Paris Salazar-Hamm, autorka badania. - Odkryliśmy, że wiele przebadanych przez nas gryzoni (...) przenosiło grzyby, które mogą wywoływać choroby u człowieka, w tym kokcydioidomikozę. Ma ona podobne objawy do grypy i może stwarzać zagrożenie dla życia.

Wywołujące ją grzyby Coccidioides zostały znalezione w dużych ilościach przede wszystkim u zwierząt z rejonów, w których choroba ta występuje powszechnie. Naukowcy wykryli je jednak również w próbkach pochodzących z obszarów, gdzie dotychczas nie notowano obecności tych grzybów.

- Nasze wyniki potwierdzają hipotezę, według której gryzonie mogą być rezerwuarem patogenów atakujących ludzi - dodaje Salazar-Hamm.

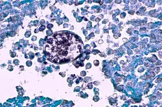
Coccidioides immitis pod mikroskopem
Coccidioides immitis pod mikroskopem
Źródło: Shutterstock

Migracja patogenów

Autorzy badania zwracają uwagę, że coraz częściej diagnozuje się zakażenia chorobotwórczymi grzybami. W czasie ostatnich kilku dekad zanotowano pojawianie się nowych typów infekcji, dlatego kluczowa jest wiedza o tym, skąd te patogeny pochodzą.

Zdaniem naukowców, wyniki ich badania mogą pomóc w opracowaniu odpowiednich strategii z zakresu zdrowia publicznego. Kokcydioidomikoza występuje głównie na terenie południowo-zachodniej części Stanów Zjednoczonych, ale znane są przypadki zawleczenia jej w inne miejsca, a na zasięg wpływa również ocieplanie się klimatu.

- Obecne prognozy dotyczące kokcydioidomikozy oparte są na danych klimatycznych i przewidują, że choroba będzie się intensywnie rozprzestrzeniać na północ i wschód - tłumaczy Salazar-Hamm. - To rezultat zmian środowiskowych. Nasze wyniki zawierają ważne informacje na temat obecności patogenów w organizmach zwierząt, a zatem pomogą w stworzeniu lepszych modeli rozprzestrzeniania się chorób.

Naukowcy chcą również sprawdzić wpływ chorobotwórczych grzybów na zdrowie gryzoni, oraz zbadać sposób, w jaki zjawisko zarażania zwierząt wpływa na roznoszenie chorób.

Czytaj także: