80 procent hospitalizowanych z powodu COVID-19 z problemami neurologicznymi

Choroby neurologiczne a COVID-19
Minister zdrowia o wariancie delta
Źródło: tvn24
Ryzyko zgonu w przypadku chorych na COVID-19, u których doszło do powikłań neurologicznych, jest sześć razy większe, niż u osób bez takich powikłań - ustalili naukowcy z Uniwersytetu w Pittsburghu.

Jaka jest częstość występowania chorób neurologicznymi u pacjentów, którzy przeszli COVID-19? Jak się one objawiają? Na te pytania próbowali odpowiedzieć naukowcy z amerykańskiego Uniwersytetu w Pittsburghu.

- Już na początku pandemii było dla nas jasne, że spora część pacjentów wymagających hospitalizacji w wyniku COVID-19 ma w następstwie choroby problemy neurologiczne - powiedział profesor neurologii Sherry Chou, autor badania i członek Global Consortium Study of Neurologic Dysfunction in COVID-19 (GCS-NeuroCOVID). - Po roku walki z nieznanym i niewidzialnym wrogiem, ciągle potrzebujemy zbierać informacje i uczyć się o wpływie COVID-19 na neurologię chorujących aktywnie i tych, którzy już wyzdrowieli - przyznała.

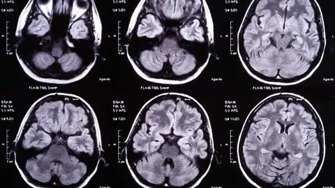
Problemy neurologiczne

GCS-NeuroCOVID to inicjatywa naukowa, której celem jest zbadanie między innymi częstości i skali problemów neurologicznych związanych z COVID-19. W badaniu uczestniczyły 133 ośrodki leczące dorosłych pacjentów na wszystkich kontynentach z wyjątkiem Antarktyki. Wstępne wyniki analiz opublikowano w czasopiśmie medycznym JAMA Network Open.

Badaniom poddano 3744 hospitalizowanych, dorosłych pacjentów z COVID-19. Problemy neurologiczne pojawiły się u około 80 procent przebadanych. 37 procent pacjentów zgłosiło problem bólu głowy, a 26 proc. straciło węch lub smak.

Zajmujący się tymi pacjentami lekarze stwierdzali ostrą encefalopatię (uszkodzenie mózgowia) u prawie połowy hospitalizowanych (49 proc.). Dla porównania - encefalopatia dotyka 17 proc. pacjentów będących wcześniej w śpiączce i sześciu proc. tych, którzy przeszli udar mózgu.

Wbrew wcześniejszym obawom, koronawirus nie atakuje mózgu bezpośrednio. Opuchnięcie i zapalenie opon mózgowych występowało bardzo rzadko i dotyczyło zaledwie jednego procenta hospitalizowanych.

- Ostra encefalopatia jak dotąd występowała najczęściej. Pacjenci mają zmienne doznania sensoryczne lub ograniczoną świadomość. Innymi objawami są: zdezorientowanie, majaczenie i nadpobudliwość - wylicza Chou, dyrektor Pitt Safar Center for Resuscitation Research.

Zwiększone ryzyko zgonu - sześciokrotnie

Naukowcy przeanalizowali dane pochodzące od pacjentów podzielonych na trzy grupy. Pierwsza z nich, czyli "wszyscy pacjenci z COVID-19" - liczyła 3055 hospitalizowanych z COVID-19 bez względu na ich problemy neurologiczne. Grupa "neurologiczna" liczyła 475 osób hospitalizowanych z COVID-19, u których lekarze potwierdzili klinicznie problemy neurologiczne. Trzecia grupa to 214 hospitalizowanych z COVID-19, których ocena pod kątem neurologicznym wymagała dodatkowych konsultacji.

Badanie wykazało, że ryzyko powikłań neurologicznych związanych z COVID-19 wzrasta dwukrotnie u tych pacjentów, którzy już przed chorobą mieli problemy o podłożu neurologicznym - dotyczących mózgu, rdzenia kręgowego czy chorobami neurologicznymi, a nawet przewlekłymi migrenami, demencją czy chorobą Alzheimera. Ale nawet tak niewinne objawy, jak utrata węchu czy smaku u pacjentów hospitalizowanych, zwiększa ryzyko zgonu aż sześciokrotnie. Podobnie jak u tych, którzy doświadczyli udaru mózgu, ryzyko utraty życia wzrasta sześciokrotnie.

Długodystansowa perspektywa zdrowotna pacjentów, którzy pokonali chorobę na pierwszym etapie, jest ciągle niepewna - zauważają autorzy badania.

- Nawet kiedy pokonamy już pandemię, pozostaną miliony tych, którzy przeżyli i potrzebują naszej pomocy. To ważne, by znać wszystkie symptomy i problemy zdrowotne, z jakimi będą się mierzyli pacjenci. Przed nami długie lata ciężkiej pracy - podsumowuje Chou.

Autor: anw/map / Źródło: PAP, jamanetwork.com

Czytaj także: