Focze USG z Helu

Nie wiadomo jeszcze, jakiej płci jest młode
Nie wiadomo jeszcze, jakiej płci jest młode
Źródło: WWF Polska
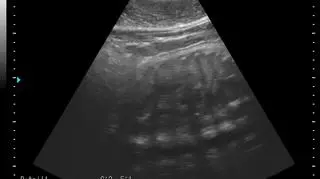
Obserwacja narodzin małej foki na wolności jest bardzo trudna, dlatego pracownicy helskiego fokarium wiele uwagi poświęcają swoim podopiecznym, które spodziewają się młodych. Ciężarne foki otoczone są szczególną troską i mają wszystko, co potrzebne do prawidłowego rozwoju - wliczając USG.

Mała foka szara, którą widać na zdjęciach USG, przyjdzie na świat kilkadziesiąt dni. Jeszcze nie wiadomo, czy to samiec, czy samica, ale dzięki specjalistycznym badaniom naukowcy z Helu są spokojni, że ciąża przebiega bez zakłóceń.

Focze maleństwo to dziecko Ewy i Bubasa, mieszkających w helskim fokarium. W badaniach USG pomagał specjalista z Niemiec, który przyjeżdża do Helu na konsultacje.

- Dzięki badaniom mamy pewność, że młode rozwija sie prawidłowo - tłumaczy profesor Krzysztof Skóra ze Stacji Morskiej Uniwersytetu Gdańskiego w Helu. - W tej chwili w fokarium mamy trzy foki szare, które są w ciąży i wszystkie są zdrowe.

Oprócz Ewy, potomków spodziewają się jeszcze Ania i Undamarina. Wszystkie powinny urodzić na przełomie lutego i marca, bo to jedyny termin, w którym rodzą się foki szare.

Nigdy bliźniaki

- Ciąża u foki trwa 11,5 miesiąca, ale na pierwszym etapie jest "utajona", zarodek zaczyna się mocno rozwijac dopiero latem - wyjaśnia prof. Skóra. - Focza ciąża jest też zawsze pojedyncza, nikt jeszcze nie słyszał o foczych bliźniakach - dodaje profesor.

Po narodzinach małe foki będą przyuczane do życia w naturalnych warunkach, a następnie zostaną wypuszczone do Bałtyku. Otrzymają specjalne nadajniki, które pozwolą śledzić ich losy po rozpoczęciu samodzielnego życia.

Poród na lodzie

Foczy poród to w naturalnych warunkach zjawisko bardzo trudne do zaobserwowania.

- Jak dotąd na polskim brzegu nie udało się zaobserwować momentu przyjścia na świat foki szarej - informuje Anna Dębicka z WWF Polska. - Nie jest to takie łatwe, bo foki szare, aby urodzić, potrzebują odizolowanego miejsca, gdzie nie będą przez nikogo niepokojone. Na polskim wybrzeżu takich lokalizacji jest niewiele. Funkcję najważniejszego miejsca odpoczynku fok pełni obecnie Mewia Łacha w rejonie Ujścia Wisły.

Prof. Skóra podkreśla jednak, że fok jest teraz w Polsce dużo i może się zdarzyć, że przypadkowy spacerowicz stanie sie świadkiem narodzin małej foki. Foki nigdy nie rodzą w wodzie - wybierają stałe podłoże - brzeg albo lód.

- W takiej sytuacji trzeba zachowac spokój - apeluje profesor. - Nie wolno takiej foki płoszyć - dodaje.

Focze USG

Autor: maz / Źródło: TVN24 Pomorze

Czytaj także: