Pijany dentysta miał pobrać wycisk. Dał pięć zastrzyków i wyrwał jedynkę

Stomatolog miał w organizmie blisko 3 promile alkoholu
Stomatolog miał w organizmie blisko 3 promile alkoholu
Źródło: tvn24
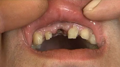
Pijany stomatolog z Radomska (woj. łódzkie) usunął młodemu mężczyźnie górną jedynkę. Kiedy na miejsce przyjechała policja, dentysta zabarykadował się w gabinecie. 50-latek miał w organizmie blisko 3 promile alkoholu. - Stomatolodzy, którzy mnie później zobaczyli, usiedli z wrażenia - mówi natomiast poszkodowany pacjent.

W poniedziałek 17 czerwca, tuż przed południem, do komendy policji w Radomsku zgłosił się 28-letni mężczyzna, który wcześniej umówił się na wizytę w jednym z gabinetów stomatologicznych na obrzeżach Radomska.

- Zabieg miał polegać na przygotowaniu górnych jedynek i dwójek do założenia na nie koron oraz na pobraniu wycisku - relacjonuje mł. asp. Aneta Komorowska, rzecznik prasowy KPP w Radomsku.

Jak wyjaśnia, stomatolog zaraz po podaniu znieczulenia zabrał się do szlifowania zębów, podając pacjentowi kolejno pięć zastrzyków znieczulających.

- Podczas zabiegu przerażony pacjent nabrał podejrzeń, że stomatolog jest pijany. Taką informację wysłał do swojej koleżanki. Po kilku minutach 28-latek zobaczył, jak jego górna jedynka ląduje w koszu i w tym momencie zdecydował się zaprotestować - wyjaśnia policjantka. Pacjent zgłosił się na policję.

- Stomatolodzy, którzy mnie później zobaczyli, usiedli z wrażenia - mówi poszkodowany

Mężczyzna zażądał wydania dokumentacji medycznej, ale jej nie dostał, 50-letni stomatolog zamknął przed nim drzwi. Lekarz zabarykadował się także przed policjantami. Gdy udało im się wejść do środka, okazało się, że stomatolog miał w organizmie 2,7 promila alkoholu.

Mężczyźnie pobrano krew do dalszych badań, które wykażą czy w chwili zabiegu był pijany. Śledczy po uzyskaniu opinii biegłego co do uszkodzeń ciała 28-latka podejmą odpowiednią kwalifikację prawną, od której zależeć będzie wymiar kary. Sprawa już została przekazana do prokuratury i to ona zadecyduje o tym, czy lekarza zatrzymać.

Dentysta wszystkiemu zaprzecza

Dentysta wszystkiemu zaprzecza

Autor: db//gak / Źródło: tvn24

Czytaj także: