Wstawili pręty, wyprostowali kręgosłup. Natalia zaczyna nowy rozdział w życiu

Zdjęcia rentgenowskie kręgosłupa 13-latki
Nowatorska operacja kręgosłupa
Źródło wideo: tvn24
Źródło zdj. gł.: tvn24
13-letnia Natalia jeszcze kilka dni temu miała kręgosłup ze skrzywieniem, które wynosiło 80 stopni. To rzadka wada. Dzięki lekarzom ze Szczecina po skoliozie prawie nie ma śladu. - Zaczynam nowy rozdział w moim życiu - mówi dziewczynka.

13-letnia Natalia zaczyna nowe, lepsze życie. A co najważniejsze, z prostym kręgosłupem, który dziewczyna miała wyjątkowo zniekształcony.

Dzięki lekarzom ze Szpitala Zdroje w Szczecinie to się zmieniło. W poniedziałek Natalia przeszła nowatorską operację, polegającą na wstawieniu specjalnych prętów korekcyjnych, które wyprostowały jej kręgosłup.

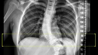
Pręty zamówiono na miarę we Francji. Jak dowiedziała się reporterka TVN24, dobrano je na podstawie zdjęć rentgenowskich. Pod uwagę trzeba było wziąć długość odcinka kręgosłupa oraz kąt skrzywienia, a to w przypadku 13-latki wynosiło ponad 80 stopni.

- Ta operacja była wyjątkowa z uwagi na zastosowanie tego systemu przy tak zaawansowanej skoliozie, tutaj można regulować każdy jeden krąg. Korekcja kręgosłupa jest natychmiastowa, a pacjent zyskuje od razu kilka centymetrów - tłumaczy Sławomir Zacha, ortopeda, który przeprowadził operację.

Zdjęcie przed operacją
Zdjęcie przed operacją
Źródło zdjęcia: tvn24

Już wstaje

Natalia jest dzielną pacjentką, ale operacja była dla niej niewątpliwie ciężka. Jak każdy, podczas takiego zabiegu, straciła dużo krwi. 13-latka wstaje już z łóżka i powoli zaczyna chodzić. Jeśli wszystko pójdzie zgodnie z planem, to na początku przyszłego tygodnia będzie mogła wrócić do domu.

- Wyznajemy zasadę, że im szybciej dojdzie do pionizacji pacjenta, tym szybciej taka osoba wróci do dawnej sprawności. W tej chwili pacjentka jest już praktycznie samodzielna - dodaje dr Zacha.

- Od operacji minęło kilka dni, a już dziś przeszłam trzy korytarze. To dla mnie wielki postęp i nowy rozdział w życiu - mówi Natalia.

Zdjęcie po operacji
Zdjęcie po operacji
Źródło zdjęcia: tvn24

Autor: aa//ec//kwoj / Źródło: TVN24 Poznań

Czytaj także: