Cztery helskie foki są w ciąży

Helskie foki spodziewają się potomstwa
Helskie foki spodziewają się potomstwa
Źródło zdj. gł.: facebook.com/Fokarium
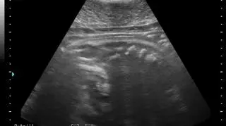
Agata, Ewa, Unda Marina i Ania spodziewają się potomstwa. Potwierdziło to pierwsze badanie USG, które przeszły foki. Nowi podopieczni pojawią się w helskim fokarium na przełomie lutego i marca.

Dobra nowinę ogłosili pracownicy Stacji Morskiej UG na jednym z portali społecznościowych, gdzie umieścili pierwsze zdjęcia maluchów.

- Po oddaniu do użytku najgłębszego basenu hodowlanego, udało nam się przeprowadzić badania USG w dogodnym dla zwierząt i opiekunów miejscu. Z radością więc informujemy, że tego roku wszystkie nasze cztery samice spodziewają się potomstwa - napisali.

Helskie foki spodziewają się potomstwa

Urodzą na wiosnę

Ciąża u foki trwa 11,5 miesiąca, ale w pierwszym etapie jest "utajona", zarodek zaczyna się mocno rozwijać dopiero latem. - Foki w tym czasie nie wymagają jakiejś szczególnej opieki. Mają teraz większy apetyt, wiąże się to nie tylko z ich obecnym stanem, ale i zbliżającą się zimą. Magazynują wówczas więcej tłuszczu - tłumaczą opiekunowie helskich fok.

Focza ciąża jest też zawsze pojedyncza. Do tej pory nikt jeszcze nie słyszał o bliźniakach. Po narodzinach małe foki będą przyuczane do życia w naturalnych warunkach, a następnie zostaną wypuszczone do Bałtyku.

Zazwyczaj maluchy otrzymują nadajniki, które pozwalają śledzić ich losy już po rozpoczęciu samodzielnego życia.

Poród foki w oku kamery:

Zobacz narodziny foki

Zobacz narodziny foki

Narodziny foki

Narodziny foki

Jeśli chcielibyście nas zainteresować tematem związanym z Waszym regionem - czekamy na Wasze sygnały/materiały. Piszcie na Kontakt24@tvn.pl.

Autor: ws/r / Źródło: TVN24 Pomorze

Czytaj także: