Tak wygląda poród od środka

 
Niezwykłe zdjęcie porodu od środka
Źródło zdj. gł.: www.newsscientist.com
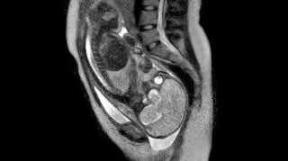
Niezwykły moment narodzin dziecka zarejestrowano za pomocą skanera MRI. Rodząca kobieta w Niemczech podczas porodu była poddawana rezonasowi magnetycznemu. Niezwykłe zdjęcie opublikował serwis newsscientist.com

To pierwsze zdjęcie w historii wykonane skanerem używanym do rezonansu magnetycznego zrobione podczas samego porodu.

Jak tego dokonano? Położne w berlińskim szpitalu odbierały poród kiedy matka leżała w skanerze. Otwarta konstrukcja urządzenia pozwoliła lekarzom na dostęp do matki i dziecka, a jednocześnie zarejestrowała podróż noworodka przez drogi rodne.

Kolejne pięć matek w kolejce

Lekarze mają nadzieję, że zdjęcia z rezonansu pozwolą dowiedzieć się więcej na przykład o przyczynach zatrzymania akcji porodowej. Na poród obrazowany rezonansem umówione jest kolejne pięć matek.

W zeszłym roku w skaner zrobił zdjęcia parze uprawiającej seks, co pozwoliło zobaczyć, jak wygląda stosunek płciowy "od środka".

Źródło: tvn24.pl

Czytaj także: